This is a rare form of cancerous tumour that develops in the glandular tissue and commonly affects the salivary glands. This can occur in the minor salivary glands consisting of the palate, tongue base, larynx, trachea and nasoparynx. The major salivary glands can include submandibular (under the jawbone), sublingual gland (present under the tongue) and the parotid (salivary gland). This can also develop in other parts such as the skin, breast and the vulva. This cancer has the potential to spread along the nerves and through the bloodstream. Adenoid cystic carcinoma commonly presents treatment failure resulting from cancer invading other parts of the body that commonly includes the lungs and the liver. The prognosis appears poor with a survival rate of 5 years as the tumour recur and continuing to progress. It is estimated that most of the cases affected with adenoid cystic carcinoma are in the age group of the 40s and 60s.
Causes
The specific cause for the development of this type of cancer has not been identified. However, the DNA changes are associated with the development of adenoid cystic carcinoma that includes chromosomal abnormalities and genetic deletions. No genetic or environmental risk factors have been identified to develop this type of cancer.
Symptom
This is usually based on the part of the body that is affected. When the carcinoma affects the salivary gland it can be a painless lesion that may be a slow growing mass affecting the lining of the mouth. The advanced form of this cancer can create pain and nerve paralysis. When the tumour affects the trachea it creates problems with the respiration and when the carcinoma develops in the larynx it can create change in the voice of the individual.
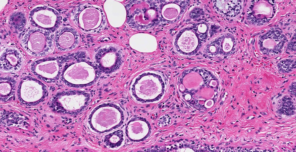
Diagnosis
In order to choose the type of diagnostic test, various factors may be considered which include the age of the individual, their medical condition, earlier medical tests, the type of symptoms evident and the form of cancer suspected. A biopsy is the only method of confirming the presence of cancer. This involves the removal of a small section of the affected tissue using either a fine needle biopsy or the removal of a part of the tumour which is examined under the microscope for abnormalities. Some of the other diagnostic tests can include CT scan, MRI scan to measure the size of the mass and a PET scan to observe the images of various organs along with the tissues of the body.
Treatment
The treatment options are based on several factors such as the stage of cancer, the location, possible side effects and if it has spread to other parts of the body. The surgical removal of the tumour is the best option if a good outcome is evaluated. Other treatment options consist of radiation therapy that uses high-energy x-rays to destroy the cancerous cells, neutron therapy and chemotherapy that administers medication to stop the cancer cells from multiplying.